こんにちは。愛知県名古屋市名東区にある歯医者「西山歯科」です。

「口を開けると銀歯が目立つのが気になる」「笑ったときに金属の色が見えるのが嫌だ」と感じ、白い歯に替えたいと考える方は少なくありません。銀歯は長年保険診療で広く使われてきた治療法です。
しかし、見た目の問題だけでなく、金属アレルギーのリスクや経年による変化など、意外と知られていない注意点もあります。
この記事では、銀歯の特徴から白い詰め物・被せ物に替えるメリットとデメリット、治療の種類や費用相場まで詳しく解説します。自分に合った治療方法を見つけ、美しく自然な笑顔を手に入れられるよう、参考にしてください。
目次
銀歯の特徴

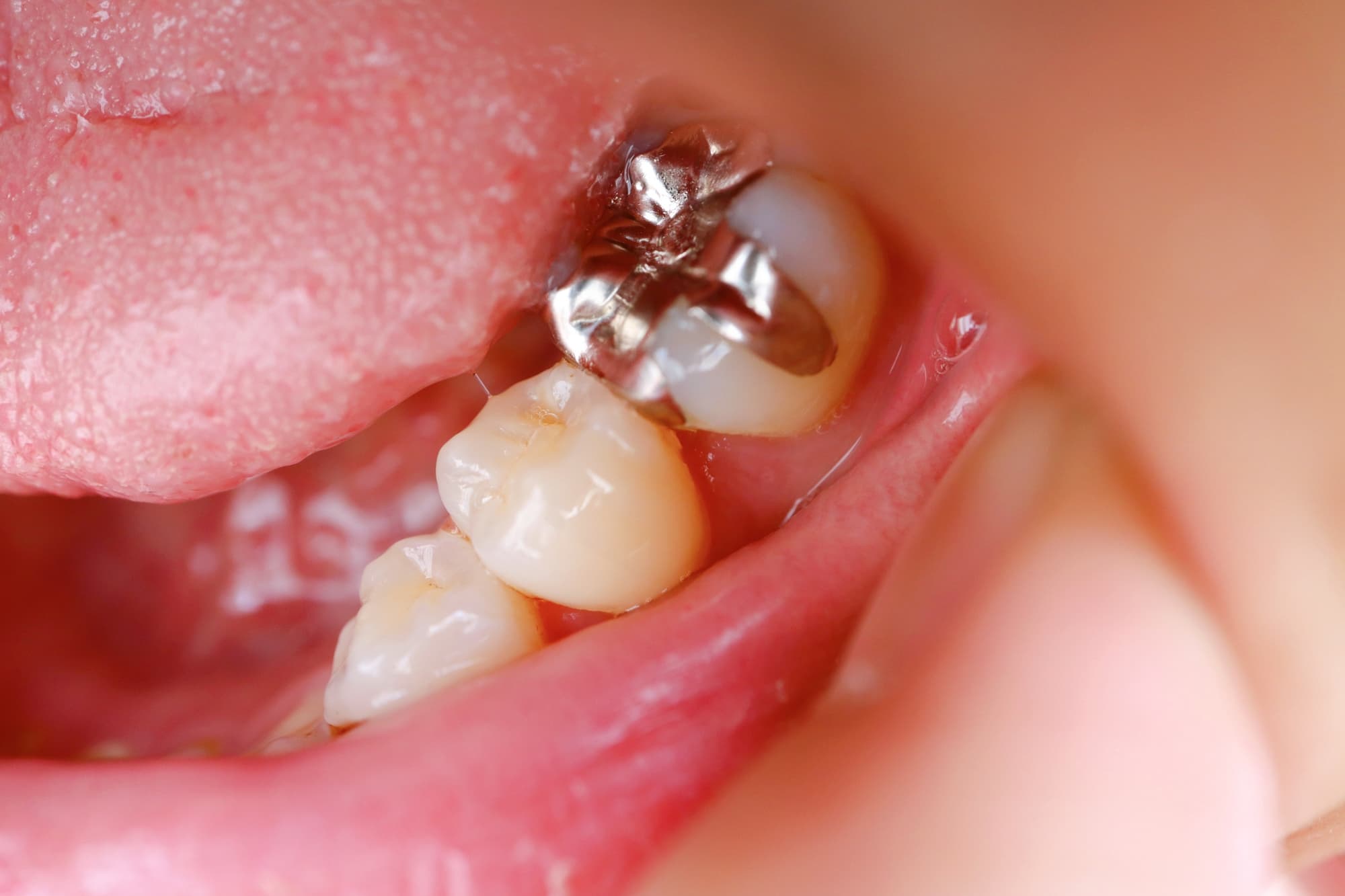
銀歯は、保険診療で広く使われてきた代表的な詰め物・被せ物です。金・銀・パラジウム・銅など、複数の金属を組み合わせた金銀パラジウム合金という素材で作られています。
ここでは、銀歯の特徴を解説します。
銀歯のメリット
銀歯の最大のメリットは、強度と耐久性にあります。奥歯のように強い噛む力がかかる部分でも、割れたり欠けたりしにくく丈夫です。
さらに、加工がしやすいため、複雑な形の歯にも対応できます。加えて、保険診療で利用できるため、費用を抑えながら治療を受けられることも大きな利点です。
銀歯の課題
まず挙げられるのが見た目の問題です。銀色の金属は天然の歯の色と大きく異なるため、口を開けた際にどうしても目立ちます。
特に、人前で思い切り笑ったり会話を楽しんだりするときに、銀歯が見えることを気にする方も少なくありません。
次に、お口の健康に関する課題もあります。金属製の銀歯は、口の中の環境、特に温度や湿度の変化に影響を受けやすい性質です。長期間にわたって使用するうちに、ごくわずかに変形したり、素材自体が劣化したりすることがあります。
その結果、歯と銀歯の境目に肉眼では見えないほどの小さな隙間が生じることがあります。この隙間から、飲食物の残りカスや虫歯菌が侵入し、銀歯の下で虫歯が再発するリスクが高まります。
患者さま自身が気づかないうちに虫歯が進行するケースも多く、これは銀歯の大きな弱点の一つとされています。
さらに、長期間使用すると金属イオンが溶け出し、歯茎が黒ずむメタルタトゥーと呼ばれる現象が起こることがあります。金属アレルギーのリスクも指摘されており、口内炎ができやすくなったり、皮膚にかゆみやかぶれなどの症状が現れたりする場合もあります。
銀歯を白くするメリット

銀歯を白い素材に変えると、次のようなさまざまなメリットがあります。
自然な見た目で自信が持てる
銀歯を白くする最大のメリットは、審美性の向上です。白い素材は天然の歯の色に近く、口を開けたときにも目立ちません。人と話すときや笑うときに銀歯を気にする必要がなくなり、自然な笑顔を取り戻せます。
特に、セラミックなどの素材は、天然歯の透明感や光沢まで再現できるため、より自然な仕上がりになります。営業職や接客業など、人と接する機会が多い方にとっては、口元の印象が大きく変わることで、仕事への自信にもつながるでしょう。
金属アレルギーのリスクを回避できる
金属アレルギーは口の中だけでなく、手足の湿疹や全身の皮膚トラブルとして現れることもあります。この場合、原因が銀歯だと気づくまで時間がかかるケースも少なくありません。
セラミックやレジンといったノンメタル素材は金属を一切含まないため、アレルギー反応を引き起こす心配がありません。すでに金属アレルギーの症状がある方はもちろん、将来的なリスクを避けたい方にとっても安心できる選択肢といえるでしょう。
歯茎の黒ずみを防げる
銀歯から溶け出した金属イオンによって歯茎が黒ずむメタルタトゥーは、一度できると除去が困難です。特に、前歯や小臼歯など、笑ったときに見える部分のメタルタトゥーは見た目に大きな影響を与えます。
セラミックやレジンなどの白い素材であれば金属イオンが溶け出す心配がないため、歯茎の美しさを長期間保つことが可能です。
銀歯を白くするデメリット

銀歯を白くすることには多くのメリットがある一方で、いくつかのデメリットや注意点も存在します。
費用の負担が大きくなる
銀歯を白くする最大のデメリットは、経済的な負担です。保険診療で使用できる銀歯と比較して、白い素材の多くは自費診療となるため、治療費が高額になります。
特に、審美性や機能性に優れたセラミックの場合、1本あたり5万円から15万円程度の費用がかかることが一般的です。最近では保険適用で使用できる白い素材も登場しており、条件を満たせば手頃な価格で白い歯にできるケースもあります。
耐久性が劣る場合がある
白い歯の素材にはたくさんの種類がありますが、どれもが金属と同じ強さを持っているわけではありません。銀歯は金属ならではの丈夫さがあり、薄く作っても負荷に耐えられるのが特徴です。
一方で、白い素材の場合は、種類によって強さに違いがあり、なかには金属よりも耐久性が劣るものもあります。特に、レジンを使った素材は、欠けたり擦り減ったりしやすい可能性があります。
また、歯ぎしりや食いしばりの癖がある方は、素材の種類に関係なく破損のリスクが上がります。
治療期間が長くなることがある
銀歯を白い素材に替える治療は、選ぶ素材によって必要な工程が大きく変わります。セラミックで被せ物を作る場合は、型取りや色合わせを丁寧に行う必要があり、歯科技工所での作製期間も含めると、完成までにある程度の時間を見ておく必要があります。
数回の通院で仕上がることもありますが、数週間かかるケースも珍しくありません。
さらに、銀歯を外したあとに歯の内部の状態を確認すると、虫歯が見つかったり、補強が必要な部分があったりすることもあります。その場合は、予定していた工程の前に別の処置が必要となり、結果として治療期間が長くなることがあります。
銀歯を白くする治療の種類

銀歯を白くする治療にはいくつかの選択肢があり、それぞれ特徴や費用などが異なります。
セラミック
セラミックは陶器と同じ素材を使用した白い詰め物・被せ物で、審美性と機能性に優れた治療法です。天然歯に近い透明感と色調を再現できるため、前歯や小臼歯など、目立ちやすい部分の治療にも使用されています。
セラミックにはいくつかの種類があり、代表的なものにオールセラミックやジルコニアがあります。
オールセラミックは金属を一切使用せず、すべてセラミックで作られた詰め物・被せ物です。金属アレルギーの心配がなく、歯茎の黒ずみも起こりません。
光の透過性もあり天然歯の見た目に近づけやすいため、前歯の治療では第一選択となることも多い素材です。費用は1本あたり7万円から12万円程度が相場となっています。
ジルコニアは、人工ダイヤモンドとも呼ばれる非常に硬い素材で、強度と審美性を兼ね備えています。奥歯のように強い噛む力がかかる部分にも使用できるため、適応範囲が広いのが特徴です。費用は1本あたり8万円から15万円程度が相場となっています。
ハイブリッドセラミック
ハイブリッドセラミックは、セラミックとレジンを混ぜ合わせた素材です。この素材は、セラミックの審美性とレジンの柔軟性を併せ持ち、費用もセラミックより抑えられるため、コストパフォーマンスに優れた選択肢となります。
条件を満たせば保険が適用されるCAD/CAM冠として提供されており、小臼歯や条件付きで大臼歯に使用可能です。保険適用の場合、1本あたり5,000円から1万円程度で白い歯にすることができます。
ただし、純粋なセラミックと比較すると、経年劣化による変色や摩耗が起こりやすいという欠点があります。
コンポジットレジン
コンポジットレジンは、歯科用プラスチックとセラミック粒子を混ぜた素材で、小さな虫歯の治療や詰め物に使用されます。保険診療で使用できるため、費用を抑えて銀歯を白くできる方法の一つです。
歯を削った部分に直接レジンを盛り付けて光で固めることが多く、型取りや歯科技工所での製作が不要なため短時間で治療を終えることが可能です。
しかし、時間の経過とともに変色しやすく、摩耗や欠けも起こりやすいため、定期的なメンテナンスや交換が必要になる場合があります。費用相場は、保険適用の場合1本あたり1,500円から3,000円程度です。
まとめ

銀歯を白い素材へ替えることは、見た目の改善だけでなく、金属アレルギーのリスク回避や歯茎の黒ずみ予防など、健康面でもメリットがあります。
治療方法には、審美性に優れたセラミック、強度の高いジルコニア、費用を抑えられるハイブリッドセラミックやコンポジットレジンなどがあります。それぞれの素材には特徴があり、治療する歯の位置や予算、求める審美性のレベルによって選択されます。
保険適用で使用できる白い素材もあるため、まずは歯科医院で相談してみると良いでしょう。銀歯が気になって笑顔に自信が持てない方、金属アレルギーが心配な方は、白く美しい歯を手に入れるための治療を検討してみてください。
銀歯を白くしたいと思っている方は、愛知県名古屋市名東区にある歯医者「西山歯科」にお気軽にご相談ください。
当院では、一般歯科や小児歯科、ホワイトニング、インプラント、矯正治療など、さまざまな診療を行っています。
ホームページはこちら、WEB予約も受け付けております。公式Instagramも更新しておりますので、ぜひチェックしてみてください。








